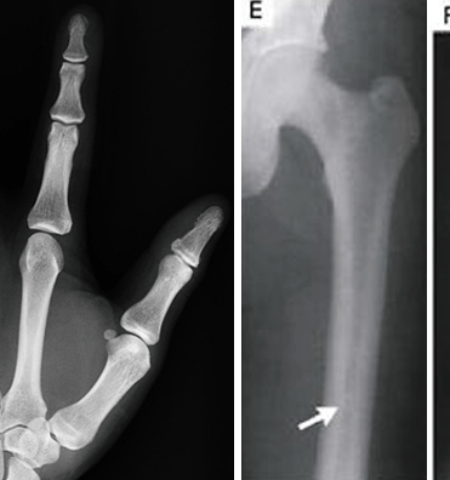
Unbreakable bones
OUR RECENT VIDEOS
background
10 of the Weirdest Birds You Never Knew Existed Picture
background
10 Unbelievable Facts About Space Picture
background
This Is What Everyday Foods Look Like Before they Are Harvested Picture
background
The Mysterious Disappearance Of The Sri Lankan Handball Team Picture
background
How Were Dinosaur Fossils Not Discovered Until The 1800s? Picture
background
Why Does Time Go Faster As We Grow Older? Picture
background
Why Aren’t Planes Getting Faster? Picture
background
10 Events That Can Wipe Out Humanity Picture